Iliac Bone Anatomy Axial

Human anatomy, Animal Anatomy and etc

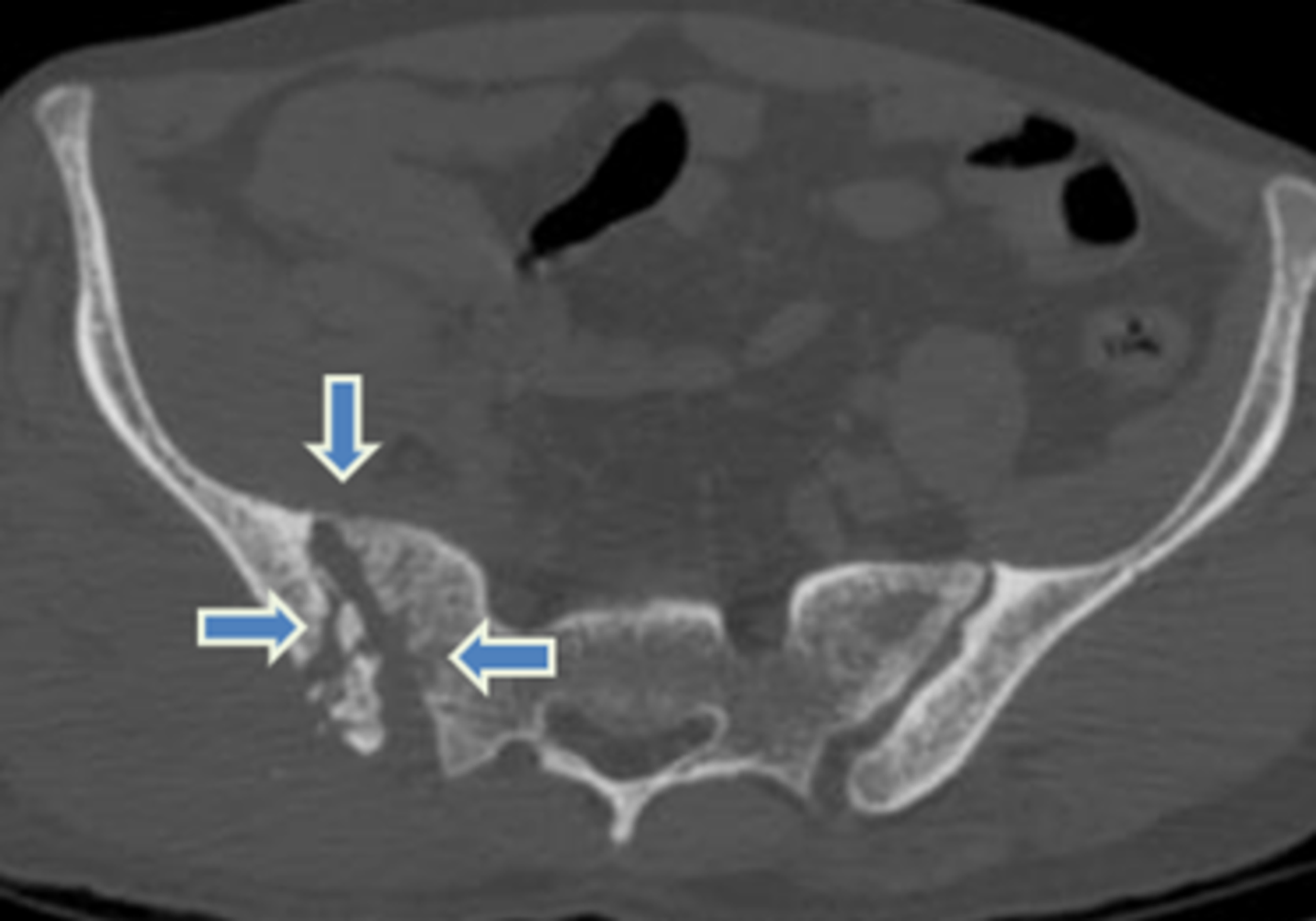
Iliac Bone Anatomy Axial. Atlas of CT Anatomy of the Abdomen. How to view anatomical labels.

Pelvis And Upper Femora Radiology Key
Pelvis And Upper Femora Radiology Key from radiologykey.com

Pulmonary circuit and systemic circuit. Injury to this area fairly common among certain athletes due to the amount of frantic spinal motion involved in many sports can develop into sacroiliac joint pain and associated problems. There are a total of 206 bones in the adult human body.

They range in size from the tiniest found in the middle ear to the largest that forms our thighThe human body has an amazing array of different bones many of which you can find on yourself or on a skeletonKnowledge of the skeletal structure of the human body is essential to know before.

The iliolumbar ligaments are crucial in supporting the lower lumbar spine. How to view anatomical labels. Anatomy Biomechanics of the Shoulder Anatomy Physiology Foundation Series. Pulmonary circuit and systemic circuit.